Smile Gallery
Take a look through our smile gallery of before and after images and discover what's possible for your smile!
The Challenge
Audrey had been content with her front tooth crown for years—until it unexpectedly cracked in the back. Suddenly, she found herself facing a decision she hadn’t anticipated: how to replace a front tooth in a way that would maintain the natural beauty of her smile. With the front teeth being so visible, the pressure was on to get it just right.
The Options
At her consultation, we discussed every detail: Would she need both front teeth replaced for a perfect match? Would sedation help ease her anxiety about the procedure? What would be the most conservative and aesthetically pleasing ...
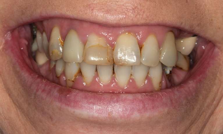
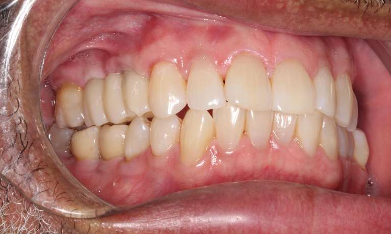
The Challenge:
Betty had been self-conscious about her smile for decades. Crowded, crooked teeth made daily hygiene difficult and had contributed to periodontal disease. To make matters worse, her deep bite was wearing down her front teeth and compromising both function and esthetics. She finally decided it was time for a change—but only if it could be done in a way that protected her long-term health.
The Options:
During her consultation at Raleigh Dental Arts, we started with a deep “catch-up” cleaning to stabilize her gum health. Then, we discussed treatment options to correct her bite and improve her smile. Clear ...
At Raleigh Dental Arts, we are committed to helping our patients regain not just their smile but also their confidence and overall health. Mike’s case demonstrates the power of All-on-X hybrid dentures in restoring both functionality and self-esteem after experiencing significant oral health challenges.
The Challenge
Mike, a team leader at work, moved to Raleigh seeking better opportunities. However, his dental health was impacted by a medical condition that caused him to lose all of his upper teeth. Despite having an upper denture, he found it to be uncomfortable, painful, and poorly fitting. The denture would move, pinch, and make it difficult for him to eat ...
At Raleigh Dental Arts, we know that a confident smile can make all the difference, especially for young patients navigating school and social life. MG’s story is a perfect example of how cosmetic dental bonding can provide a beautiful interim solution before more permanent treatment.
The Challenge
After completing orthodontic treatment, MG was happy with her newly straightened teeth but felt self-conscious about the noticeable spacing and the small size of her upper front teeth. This concern was more than just cosmetic—she worried about being bullied at school for her smile. Her original interest was in getting veneers, but Dr. A recommended waiting until she was at least 18 ...
At Raleigh Dental Arts, we believe that a smile transformation isn’t always about the front teeth—it’s about restoring function, comfort, and confidence. Willie’s story is a powerful example of how dental implants can help patients reclaim their ability to eat, enjoy life, and feel great about their oral health.
The Challenge
For the past five years, Willie had been focused on improving his overall health. But one thing was still holding him back—his dental health. He hadn’t been to the dentist in over 25 years due to a deep-seated fear of extractions. In the past, every visit seemed to end with losing another tooth, leaving him with fewer and fewer ...
At Raleigh Dental Arts, we believe that a beautiful smile doesn’t always require aggressive treatments. Sometimes, the best transformation is a return to natural beauty using conservative, holistic dentistry. Pat’s journey is a perfect example of how whitening, clear aligners, and minimally invasive techniques can create a radiant, healthy smile.
The Challenge
Years ago, Pat received Lumineers to cover the shape and misalignment of her front teeth. While they initially improved her smile, over time, they became discolored at the edges and started to look dingy and unnatural. She no longer felt confident and wanted to return to her own natural teeth—whiter and in better alignment.
Fortunately, because her teeth had not been altered before the no-prep veneers, ...
At Raleigh Dental Arts, we know a smile is more than aesthetics—it’s about health, confidence, and quality of life. Melissa’s story highlights how All-on-X hybrid dentures supported by dental implants can completely transform lives, restoring not just smiles but overall well-being.
The Challenge
Melissa was deeply unhappy with her teeth. Years of rampant decay, failing dental work, and teeth falling apart left her feeling she looked older than her age. Her deteriorating oral health wasn’t just affecting her confidence—it was impacting her ability to eat. She was rapidly losing weight because chewing had become nearly impossible.
Recently moved to North Carolina, Melissa was ...
At Raleigh Dental Arts, we understand that a healthy, confident smile can transform both your personal and professional life. David’s story showcases how hybrid dentures supported by dental implants—often referred to as All-on-X—paired with sedation dentistry, can restore function, aesthetics, and confidence.
The Challenge
David was dealing with missing and broken teeth, making it difficult to chew properly and enjoy meals, especially when dining out with clients. As a business owner who works closely with the public, his smile left him feeling embarrassed and worried that it poorly reflected his professional image. The lack of confidence held him back in both social and professional interactions.
The Solution
David knew he ...
At Raleigh Dental Arts, we know that a smile can impact how you feel about yourself. Amy’s story is a perfect example of how personalized care and advanced dentistry can restore not just teeth, but self-confidence and joy.
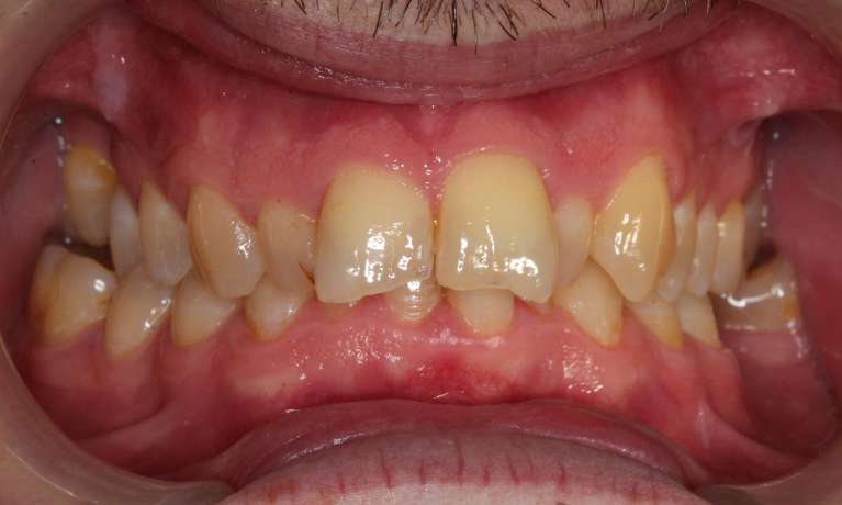
The Challenge
Amy’s upper front teeth had become uneven and unsightly. One tooth, noticeably longer and sticking out, made her feel self-conscious about her smile. On top of that, the teeth had old root canal treatments that had failed, leading to infections and breakage. The result? Amy no longer felt comfortable or confident smiling.
The Options
We took the time to discuss Amy’s concerns and goals, ...
At Raleigh Dental Arts, we’re dedicated to not only improving smiles but also creating positive experiences for our patients, especially those with dental anxiety. One such transformation is the story of a patient who came to us with a broken front tooth and deep embarrassment about the dark color of her teeth.
The Concern
This patient had long avoided dental care due to anxiety stemming from negative past experiences. When her front tooth broke, she felt it was time to seek help. Her concerns included:
- A broken and discolored front tooth.
- Dark cavities affecting her smile.
- Fear and apprehension about dental treatment.
The Plan
We took the ...
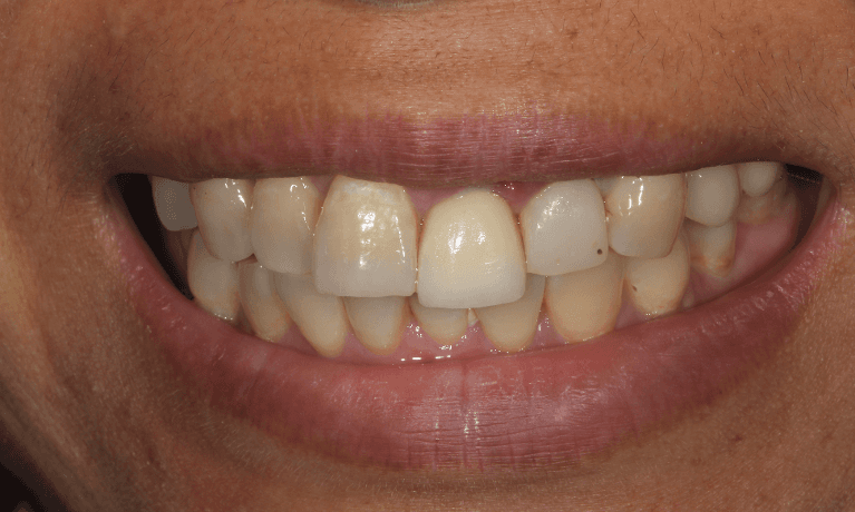
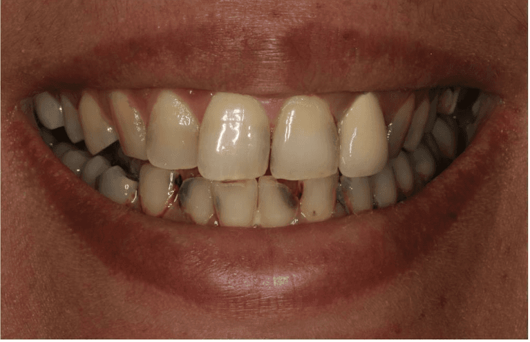
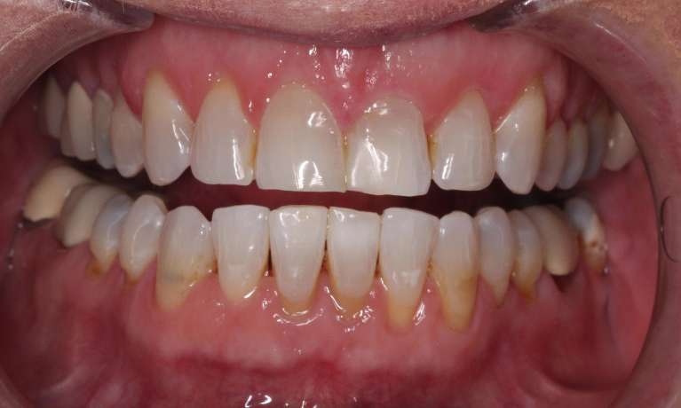
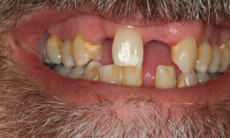
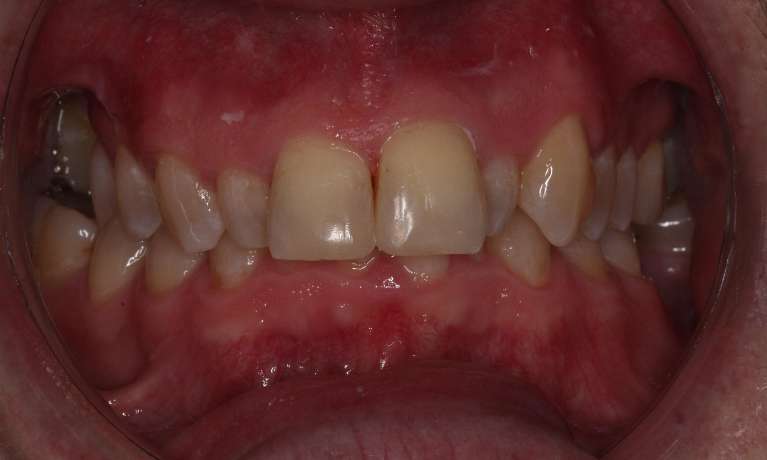
At Raleigh Dental Arts, we understand the profound impact that a missing tooth can have on one’s confidence and quality of life. Recently, we had the privilege of helping an adult patient who had lived for years with an uncomfortable and unattractive flipper to replace his missing front tooth.
The Challenge
This patient had been ready for a change but wanted to preserve the natural character of his smile. Before losing his front tooth, he had a distinctive gap (diastema) between his front teeth, which he liked and wanted to maintain. He was looking for a permanent solution that felt natural, looked ...
At Raleigh Dental Arts, we believe in transforming smiles and boosting confidence through minimally invasive techniques. One of our favorite success stories is that of a teenage girl who felt self-conscious about white spots on her teeth that had developed during childhood.
The Concern
White spot lesions can occur for various reasons, including developmental factors. For this young patient, these spots had been a long-standing source of insecurity, making her reluctant to show her smile in photos or around friends.
Her parents, wanting to see her shine with confidence, decided to gift her an ICON treatment as a meaningful gesture.
The Solution
ICON is a ...
Our patient came to us with front teeth worn down and uneven from years of grinding, clenching, and natural wear. He was unhappy with how thin and irregular they had become. Using cosmetic bonding, we restored his front teeth to a natural, balanced look that complements his smile.
Stay tuned for updates! He’s now beginning clear aligner therapy to further enhance his bite and achieve a healthy, beautifully aligned smile. An incredible transformation is on the way!
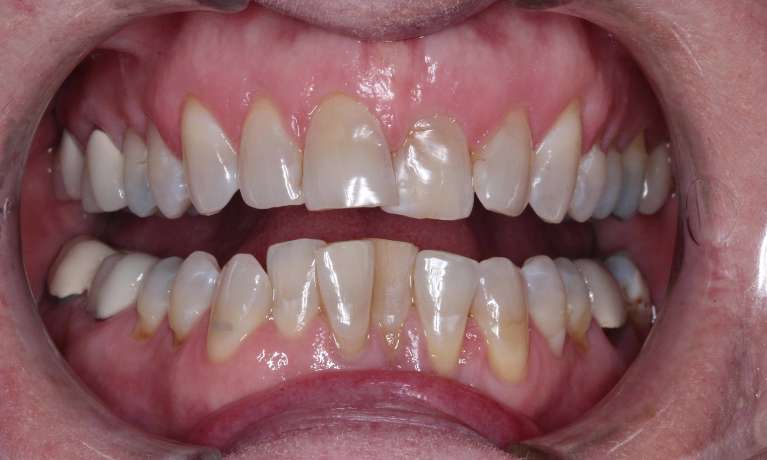
Before & After:
An inspiring journey to a more balanced, resilient smile, combining restorative bonding with alignment therapy for lasting results.
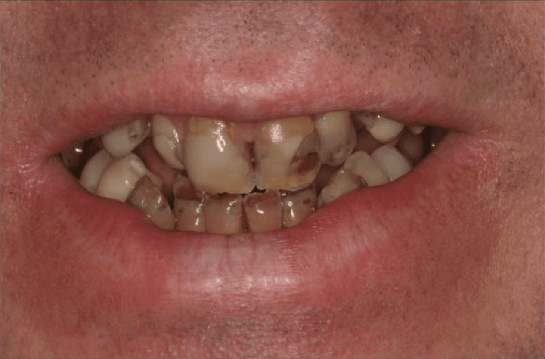
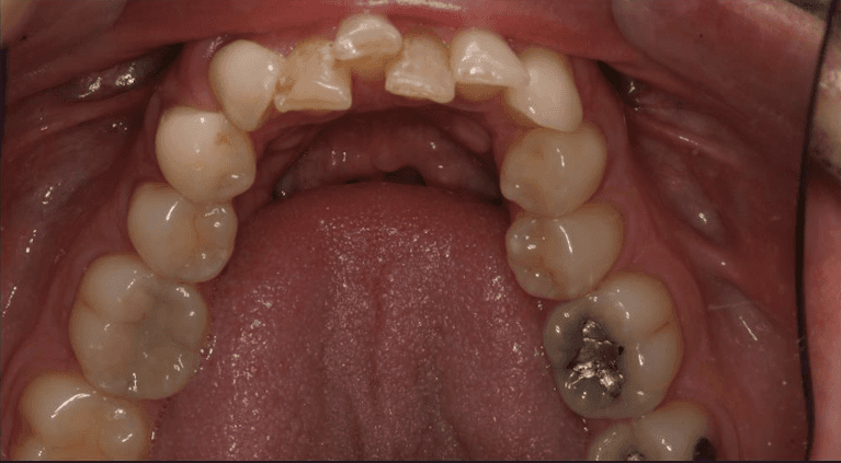
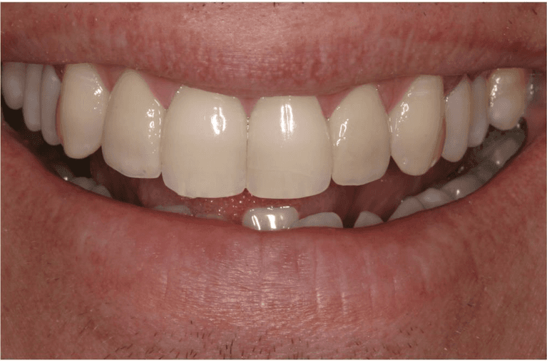
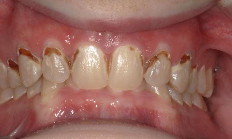
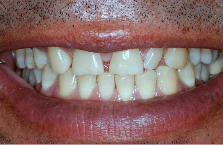
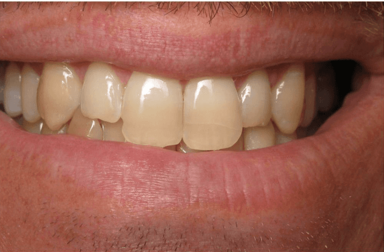
Our patient came to us with a history of trauma to his front teeth and repeated damage due to grinding, which left him with ragged edges, mismatched color, and shortened length. Despite previous fillings, he struggled with durability and aesthetics.
Using the latest advanced dental materials, we provided him with a long-lasting solution. His new front teeth are not only designed to withstand grinding but also seamlessly blend with his natural smile, restoring both function and confidence. He’s thrilled with his renewed look, knowing it will stand the test of time.
Before & After:
A smile transformation that reflects the power of high-quality ...
A young patient in his mid-20s came to our office with concerns about his smile. Growing up, he had never been to the dentist, as his parents hadn’t taken him as a child. Over the years, he developed a habit of drinking a lot of soda, which left visible brown spots on his teeth. Though he had since stopped drinking soda, he was still worried about the damage it had caused. The patient was self-conscious about his smile and felt embarrassed talking to people at his new job.
Motivations for Change
The patient was eager to address the discoloration and potential cavities ...
Motivations for Change
At Raleigh Dental Arts, we’re proud to help patients like Greg, who have struggled with dental issues and anxiety for years, find their way to a smile they love. Greg’s journey from hiding his teeth to proudly showing them off is a testament to the transformative power of personalized care.
The Challenge
For decades, Greg managed his missing front teeth with a broken flipper, but it was far from a solution. He felt embarrassed about his smile and avoided face-to-face conversations, often covering his mouth when he talked, laughed, or smiled. Fear of the dentist had kept him from seeking care, leaving him ...
The patient had a full smile makeover consisting of porcelain crowns, root canals, and implants.
Full makeover consisting of porcelain crowns and some implants to replace missing teeth.